Lười gì chứ đừng lười 4 việc này kẻo sức khỏe xuống dốc

Trà My, Theo Trí Thức Trẻ 00:00 06/09/2016
Chia sẻ

Dù bận rộn đến đâu, đừng lười thực hiện những điều sau để cơ thể khỏe mạnh và trẻ đẹp dài lâu.

Cuộc sống bận rộn đôi khi khiến chúng ta quên béng mất việc chăm sóc cơ thể. Bạn không cần phải tốn hàng giờ chăm chút cho bản thân, nhưng chí ít hãy đáp ứng những nhu cầu cơ bản để đảm bảo sức khỏe và nhan sắc. Dưới đây là 4 bước quan trọng trong ngày thường bị bỏ qua, khiến sức khỏe lẫn ngoại hình mau chóng xuống dốc mà bạn cần khắc phục:

Lười uống nước

Nước là thành phần thiết yếu của cuộc sống – đây hoàn toàn không phải câu quảng cáo phóng đại mà là sự thật, thiếu nước có thể ảnh hưởng "từ đầu tới chân" bạn, theo nghĩa đen. Ngoài việc tổn hại thận là tác hại phổ biến nhất, không uống đủ nước còn khiến cơ thể mệt mỏi, buồn ngủ, trí óc hoạt động kém. Thêm vào đó, làn da thiếu nước sẽ lão hóa với tốc độ nhanh gấp nhiều lần.

Lười gì chứ đừng lười 4 việc này kẻo sức khỏe xuống dốc - Ảnh 1.

Uống đủ nước quan trọng, nhưng uống nước chăm chỉ còn quan trọng hơn. Bạn nên lưu ý chia làm nhiều lần uống nước trong ngày, mỗi lần khoảng 200ml để cơ thể hập thu tốt nhất.

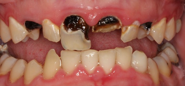
Lười làm sạch răng

Hầu hết chúng ta đều chải răng hai lần một ngày và nghĩ thế là đủ. Thật ra, theo lý thuyết, răng cần được làm sạch mỗi khi ăn xong. Nếu không có điều kiện chải răng, bạn cũng nên súc miệng. Chỉ lười đánh răng một hôm thôi là bạn sẽ chuốc lấy hàng tá vấn đề như mảng bám, sâu răng, hôi miệng, viêm và chảy máu nứu… Đặc biệt, nhiều trường hợp đánh răng không sạch kéo dài còn dẫn đến chứng đa sâu răng đáng sợ - răng sâu lan tràn cả hàm và phải nhỏ bỏ rất nhiều.

Lười gì chứ đừng lười 4 việc này kẻo sức khỏe xuống dốc - Ảnh 2.

Lười gội đầu

Bạn thường lười bước vào nhà tắm và đợi đến khuya mới cuống cuồng đi gội đầu? Gội đầu muộn và ngủ với mái tóc ướt là nguyên nhân dẫn đến nhiều vấn đề sức khỏe, mà đáng sợ nhất là ở hệ thần kinh. Nhẹ thì là các cơn đau đầu vào sáng hôm sau, viêm da, tóc rụng, nặng là ảnh hưởng tới dây thần kinh số 7 – có thể dẫn đến tình trạng liệt nửa mặt, co giật mặt. Lí do là vì tóc ướt gây tắc nghẽn các dây thần kinh sau tai, lưu thông máu kém tới những dây thần kinh quan trọng trên mặt. Vì thế dù bận đến đâu, bạn cũng hãy gội đầu từ sớm và dành thời gian hong tóc thật khô trước khi đi ngủ nhé!

Lười gì chứ đừng lười 4 việc này kẻo sức khỏe xuống dốc - Ảnh 3.

Lười vận động

Hầu hết người trẻ đều đang vận động ít hơn nhu cầu cần thiết của cơ thể. Vận động ở đây không phải là tập hùng hục ở phòng gym, mà chỉ cần cho cơ thể hoạt động nhẹ nhàng và liên tục trong ngày: Thay vì đi thang máy thì hãy đi bộ nếu chỉ có 2, 3 tầng, đừng ngồi hay nằm ở một tư thế quá lâu… Thay đổi những thói quen này sẽ khiến bạn thấy biết ơn khi dần lớn tuổi, vì lười vận động là nguyên nhân chính dẫn đến các vấn đề thường gặp ở tuổi già: stress, giãn tĩnh mạch, huyết áp cao, mỡ máu thậm chí là nhồi máu cơ tim, đột quỵ. Vì thế, khi còn trẻ, hãy xây dựng cho mình thói quen vận động thường xuyên trước khi quá muộn nhé!

TIN CÙNG CHUYÊN MỤC
Xem theo ngày